Sie haben Fragen zu dieser Behandlung?

Vielen Dank für Ihr Interesse
*Pflichtfelder

Maria

Patientenalter 54 Jahre
Beginn 1991
Zahntechniker Thomas Kuranz †
Behandlungsaufwand Mittel
Ausgangssituation

Meine Geschichte

Ich wollte eine schöne Brücke…

mehr lesen

Meine
Erwartungen

Ein natürliches Aussehen der Brücke, wie echte Zähne, das war mein Wunsch. Dr. Clotten meinte er bekäme das hin 

Zahnärztliches Risiko

  • Karies
  • Parodontitis
  • Funktion
  • Iatrogen
  • Patientenrisiko
  • Behandlungsrisiko

Fazit Risikobewertung

Hohe Erwartungshaltung Seitens der Patientin. Gewebeaufbau ist seinerzeit nur mit Gewebe aus dem Gaumen möglich gewesen und heute auch noch Goldstandard für mich. Es gibt mittlerweile auch spezielle Kollageneinlagen die einen Gewebeaufbau ermögliche. Die Heilung ist begleitet von der Ausformung des Brückengliedes und bedarf seiner Zeit. Ja dafür bracht es etwas Geduld. Wir belassen die Brücken in der Regel für 6 Monte, bevor wir mit dem endgültigen Zahnersatz beginnen. 

Bei Behandlungsbeginn

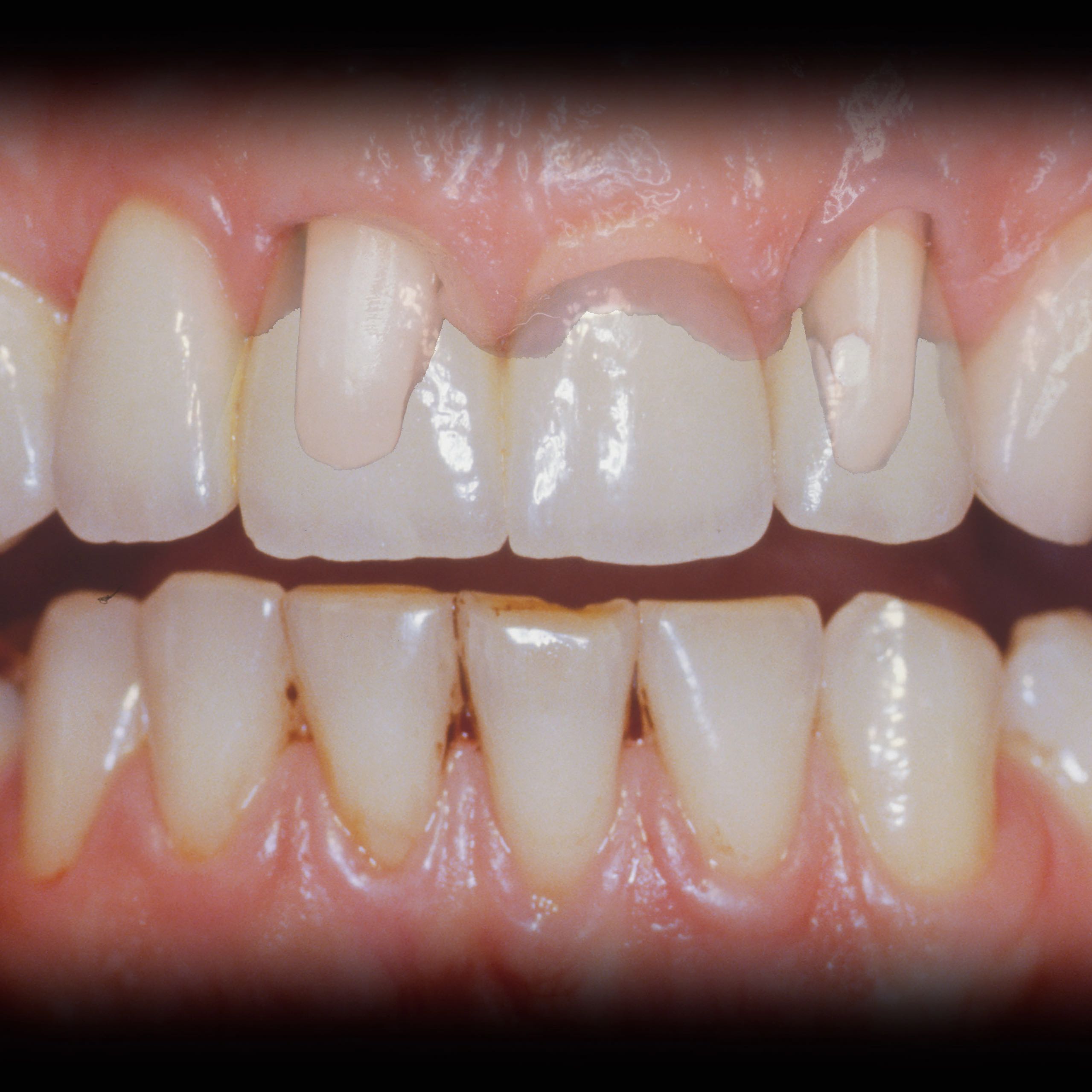
  • Alte Brücke mit ausgeprägtem Knochen- und Weichgewebeverlust am Brückenglied
  • Zahnersatz mit unnatürlicher Brückengliedausformung

Therapie

  • Untersuchung; Erstellen der diagnostischen Unterlagen
  • Abnahme der Brücke, Anfertigen eins Sofortprovisoriums
  • Eine Ausgangsaufnahme ist nicht vorhanden.Aufbau des Weichgewebe im Bereich des Brückengliedes durch Spender-Gewebe aus dem Gaumen.
  • Gewebeausformung und Anpassen des Brückengliedes
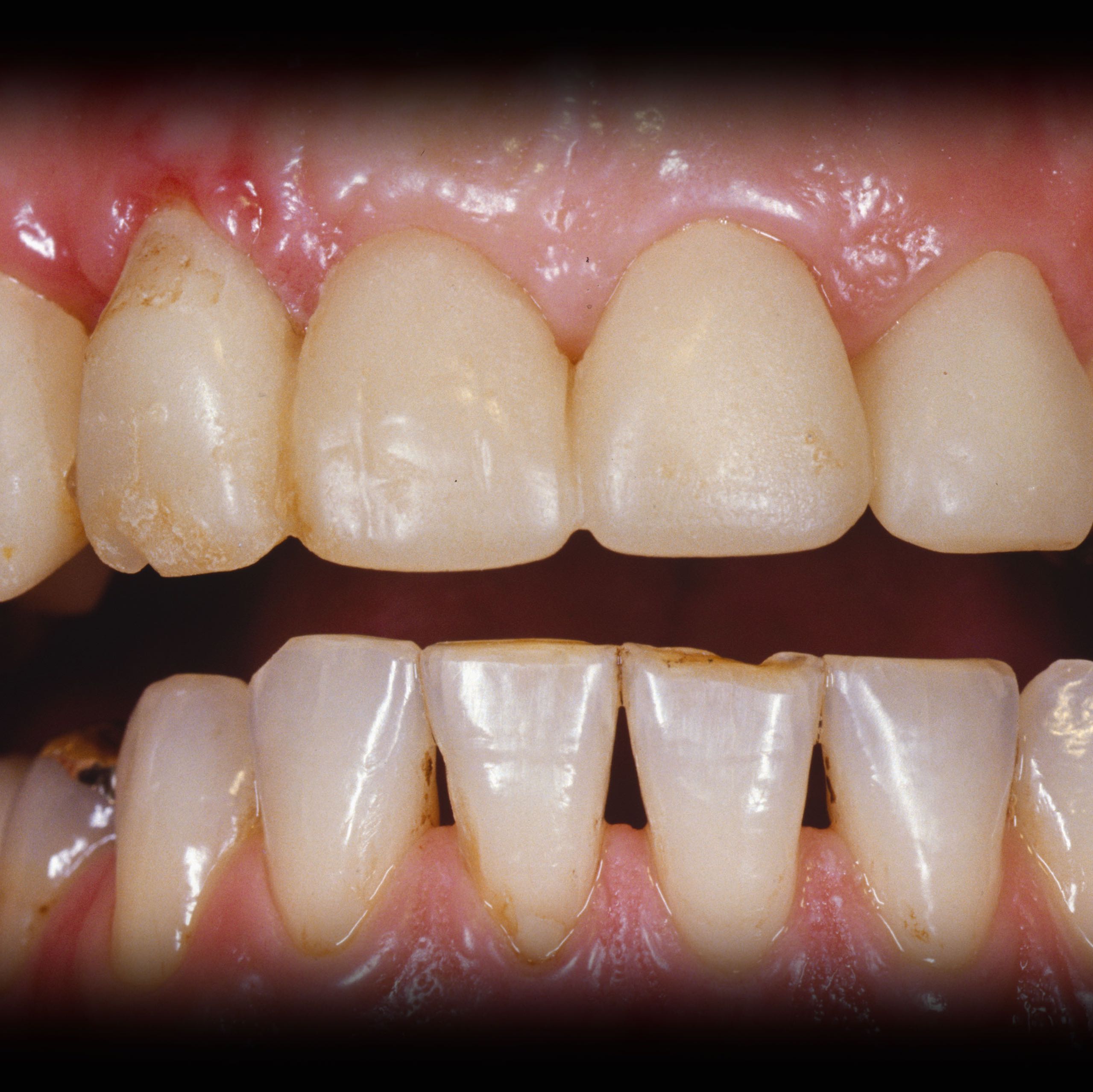
  • Neue Brücke
Auswahl zurücksetzen
Gesamtbehandlungszeit: 8 Monate

Zeitbedarf
der Behandlung*

* ) 8 Monate; Kontrolltermine, Zahnreinigungen und GBM, stellen separate Termine dar. 

  • Vorbehandlungsphase
    2 Wochen

    02/1991

    Klärung des Behandlungsauftrages

  • Untersuchung, Anfertigung von Röntgenbildern, Abformungen Ober- und Unterkiefer

  • Professionelle Zahnreinigung 

    Einüben der für mich idealen Zahnreinigungstechnik und Hilfsmittel 

  • Hauptbehandlungsphase
    7 Monate

    02/1991

    Abnahme der Brücke, anfertigen eines Sofortprovisoriums

  • 03/1991

    Gewebeaufbau im Bereich des fehlenden Frontzahnes

  • 03-09/1991

    Gewebeausformung und Anpassen des Brückengliedes

  • 09/1991

    Eingliedern der neuen Brücke

Mein Fazit

Ich bin begeistert. Ein bisschen Geduld musste ich mitbringen. Auch die Operation hatte ich mir nicht so vorgestellt. Eine Gewebeentnahme aus dem Gaumen. So etwas kannte ich nicht. Ich machte mir alle möglichen Gedanken. Im Nachhinein war es erträglich. Das Warten auf meine neue Brücke war eine echte Geduldsprobe. Ich musste warten bis Dr. Clotten mit der Stabilität der Gewebe zufrieden war, erst dann bekam ich sie. Ich bin allen sehr dankbar. Dr. Clotten mit seinem Team und der fantastische Zahntechniker

VORHER
NACHHER

Zuletzt angesehen