Sie haben Fragen zu dieser Behandlung?

Vielen Dank für Ihr Interesse
*Pflichtfelder

Uwe

Patientenalter 67 Jahre
Beginn 2022
Behandlungsaufwand Gering
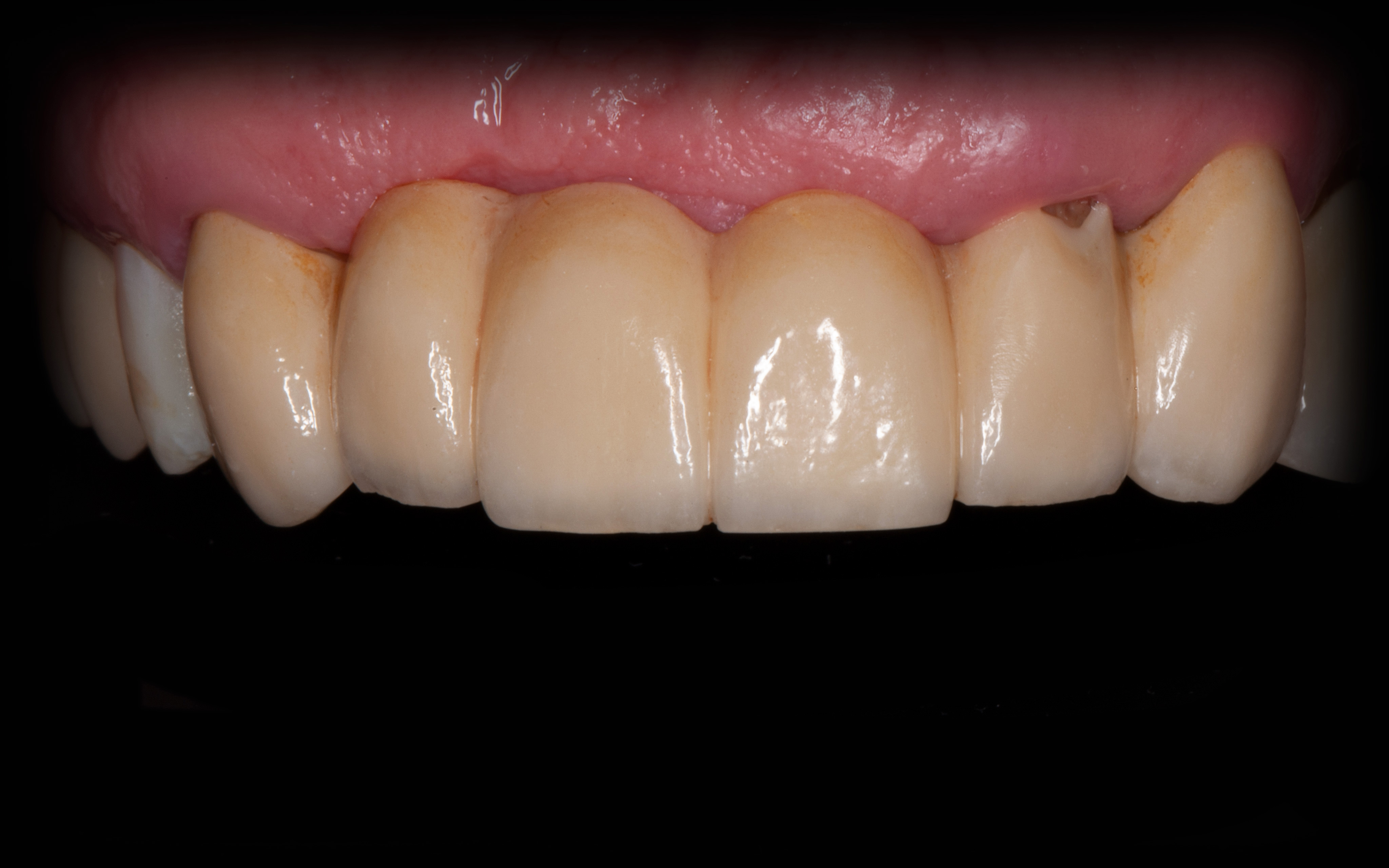
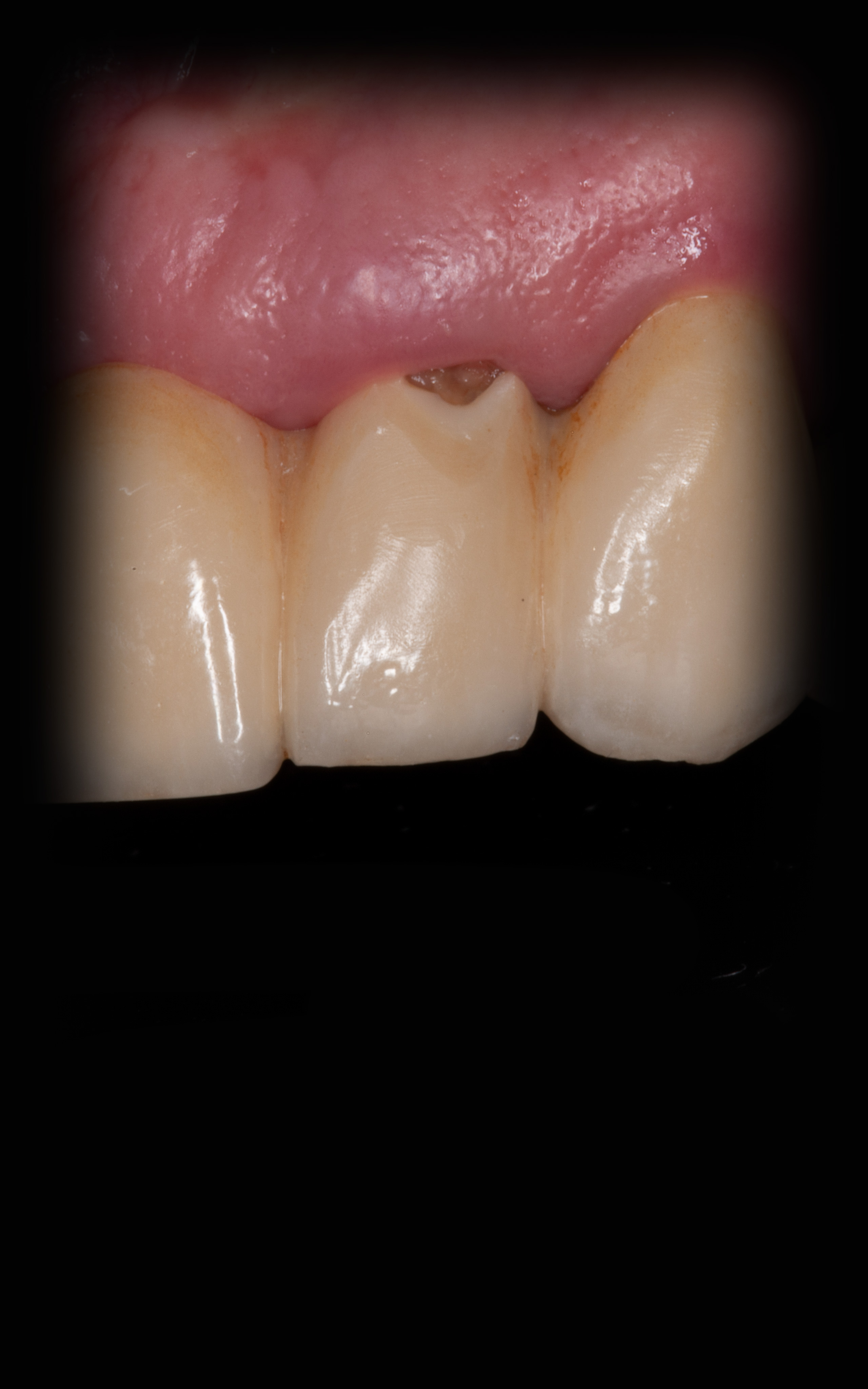
Ausgangssituation

Meine Geschichte

Die gesamte Brücke sollte neu gemacht werden 

mehr lesen

Meine
Erwartungen

Ich erhoffte mir endlich eine Aufklärung und faire Beratung was heute zahnmedizinisch möglich ist und weshalb ich dauernd Schmerzen an dem einen Zahn hatte. Es wurde schon eine Wurzelbehandlung und auch Wurzelspitzenresektion vorgenommen. Ich wollte endlich Ruhe haben. Nach eingehender Aufklärung hatten wir uns auf die Reparatur der Krone geeinigt. Dr. Clotten erklärte mir eingehend woher die Schmerzen kamen und welche Möglichkeiten ich hatte. Ich wollte ich keine Experimente mehr in Sachen Zahnerhaltung und hatte mich für ein Implantat entschieden

Zahnärztliches Risiko

  • Karies
  • Parodontitis
  • Funktion
  • Iatrogen
  • Patientenrisiko
  • Behandlungsrisiko

Fazit Risikobewertung

Bei solchen Keramikabplatzungen besteht oft die Möglichkeit mit modernen Adhäsivsystemen den Defekt zu reparieren. Funktionelle Probleme sollte vorher abgeklärt werden. Jede Erneuerung von Kronen bringt mitunter neue Themen mit sich. Abgesehen vom Kostenfaktor sollte nach meiner Meinung der biologische Preis, d.h. die Substanzschädigung bei der Kosten-Nutzen-Prognose Abwägung mit bedacht werden. Die hier angewandte Adhäsiv-Technik bei der Kronenreparatur ermöglicht eine langzeit stabile Versorgung. Bei unklaren Beschwerden sind wie immer Befundung und Diagnostik sinnvoll. Hier konnte die Ursache schnell gefunden werden. Bei unklarerer Prognose wäre es unter Umständen möglich gewesen den Zahn zu erhalten. Wenn nicht, wäre der Einsatz verloren. Der Patient entschied sich für den sicheren Weg der Implantat -Versorgung

Bei Behandlungsbeginn

  • Keramikfraktur mit Reparaturversuch
  • iatrogenes Anbohren des Zahnes
  • Knochendefekt bis zur Wurzelspitze, vorherige Wurzelspitzenresektion, unklare Wurzelfüllung

Therapie

  • Kontrolle auf Zahnfraktur
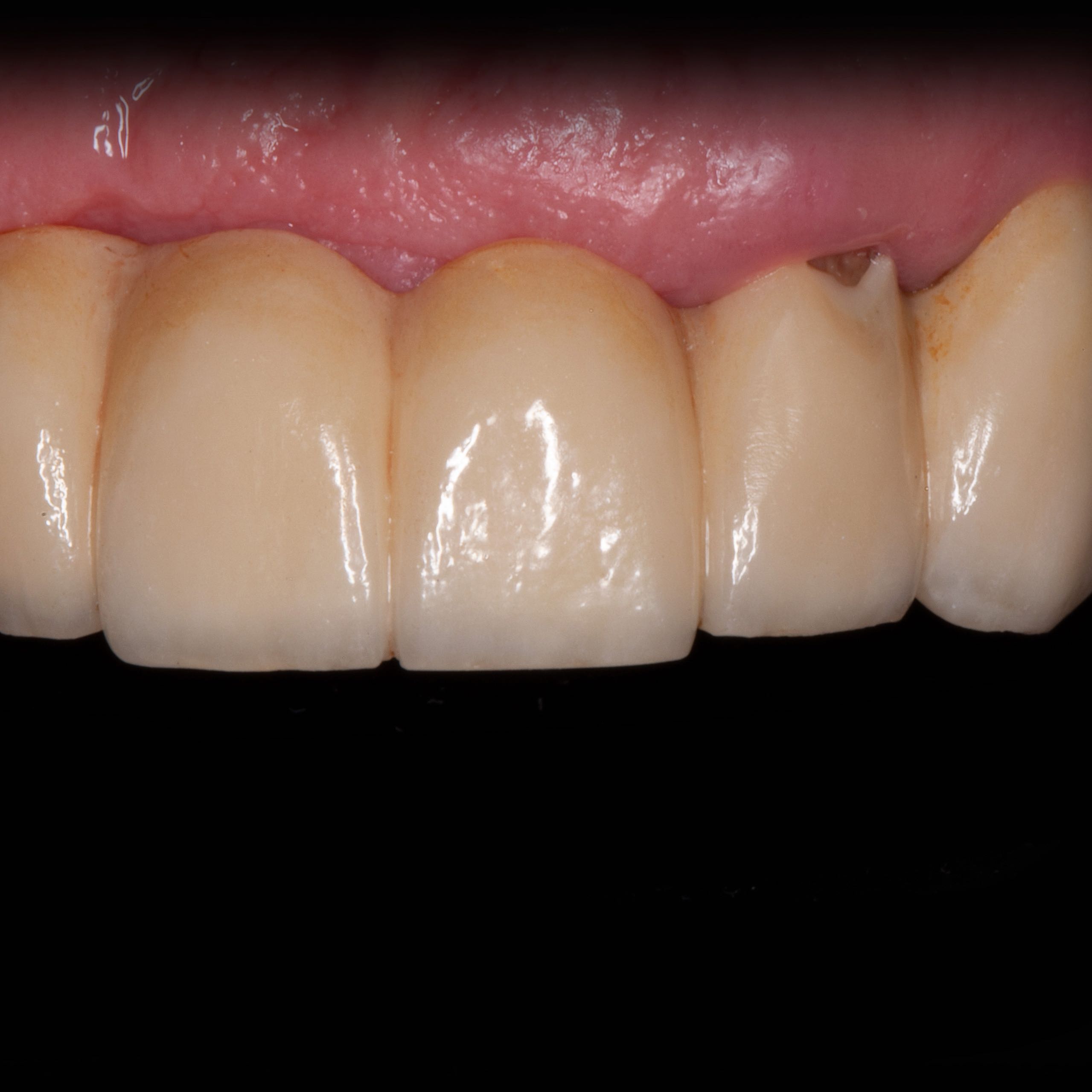
  • Defektreparatur am Zahn und Keramik mit modernen Adhäsivsystem und Komposit-Konststoffen
  • Röntgen- und Parodontal-Diagnostik
Auswahl zurücksetzen
Gesamtbehandlungszeit: Eine Behandlungssitzung

Zeitbedarf
der Behandlung*

Eine Behandlungssitung

  • Vorverhandlung
    10/2022

    10/2022

    Untersuchung, Erstellung der Diagnostischen Unterlagen, Eingehende Aufklärung und Beratung über die Behandlungsmöglichkeiten auch über alles so belassen wie es ist

  • Hauptbehandlung
    02.11.2022

    11/2022

    Professionelle Zahnreinigung, Einüben der für mich idealen Zahnreinigung mit auf mich abgestimmten Zwischenraumbürstchen und Zahnseide

  • 11/2022

    Reparatur und Wiederherstellung der Krone am linken seitlichen Schneidezahn 

  • Routine Kontrolle mit Implantation

    Alle 4/6 Monate

    Einbindung in das regelmäßige Untersuchungsprogramm mit Guided Biofilm Therapy (GBT), d.h. systematische Entfernung des anhaftenden Biofilms

Mein Fazit

Endlich eine Beratung und Aufklärung die den Namen auch verdient. Ich konnte immer Fragen stellen. Natürlich hatte ich ein erhöhtes Aufklärungsbedürfnis nach all den schlechten Erfahrungen. Dr. Clotten und sein Team beantworten mir immer geduldig alle Fragen. Auch nach dem ich die Behandlung abgeschlossen hatte. Ich habe endlich das Gefühl ernst genommen zu werden, dass auf meine Belange Rücksicht genommen wird 

VORHER
NACHHER
Die Arbeit ist seit 4 Jahren beständig

Zuletzt angesehen