Sie haben Fragen zu dieser Behandlung?

Vielen Dank für Ihr Interesse
*Pflichtfelder

Jutta

Patientenalter 62 Jahre
Beginn 2014
Behandlungsaufwand Gering
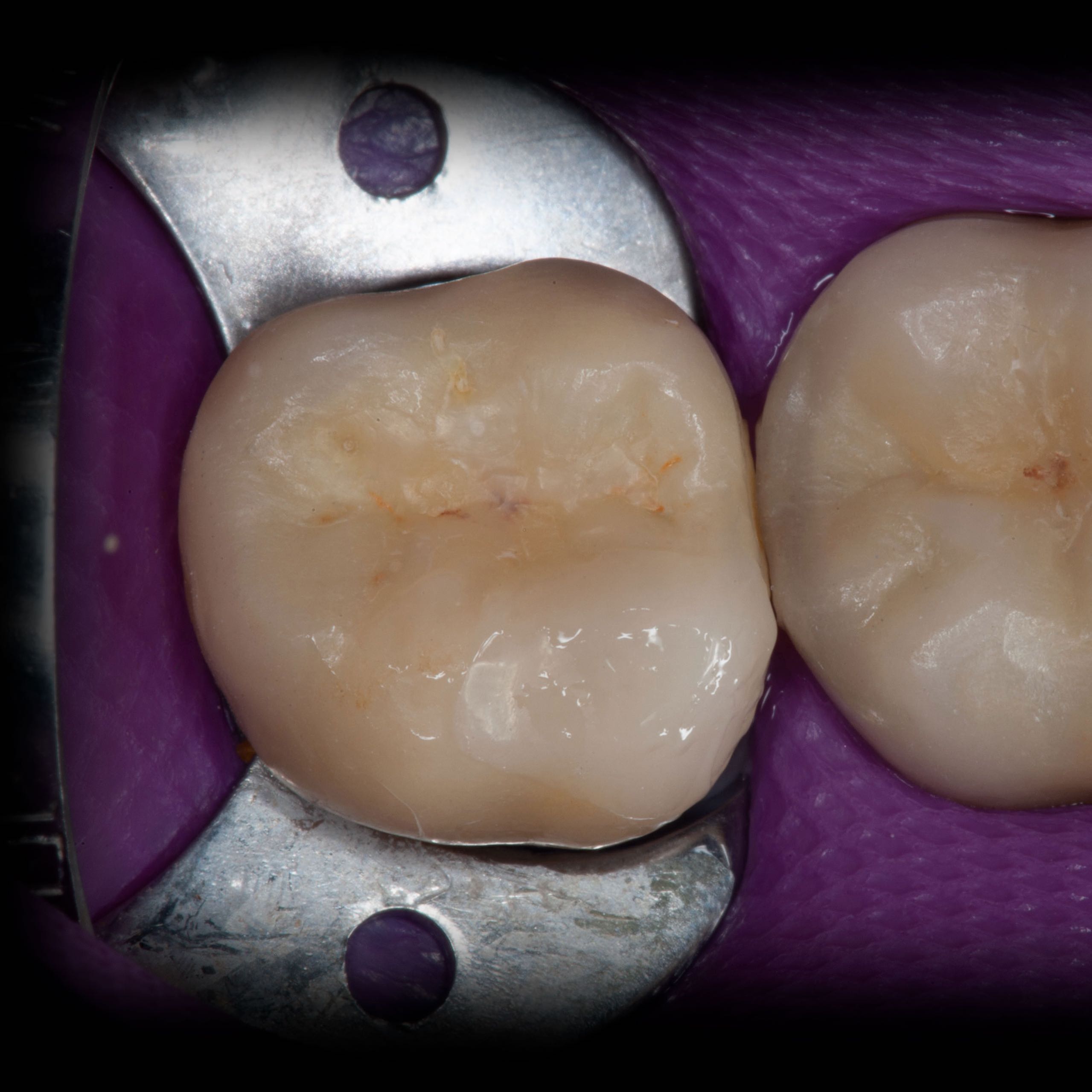
Ausgangssituation

Meine Geschichte

Ich wollte keine neue Krone...

mehr lesen

Meine
Erwartungen

Ich hatte keine so großen Erwartungen an die Reparatur. Nur ich hatte nichts zu verlieren. Wenn es nicht halten sollte, konnte ich entweder so weiterleben oder dann doch eine neue Krone anfertigen lassen

Zahnärztliches Risiko

  • Karies
  • Parodontitis
  • Funktion
  • Iatrogen
  • Patientenrisiko
  • Behandlungsrisiko

Fazit Risikobewertung

Bei solchen Keramikfrakturen muss immer erst nach der Ursache geforscht werden, damit sie nach der Reparatur lange halten. In diesem Fall war die Eckzahnführung zu schwach. Die Belastung der Krone in Folge zu hoch. Nach Anpassung der Führung konnte das Veneer sicher und stabil platziert werden

Bei Behandlungsbeginn

  • Keramikfraktur
  • Abgeschwächte Eckzahnfürhung

Therapie

  • Ursachenforschung für die Keramikfraktur
  • Optimierung der Eckzahnführung
  • Anfertigung eines keramischen Veneers zum Ersatz des fakturierten Höckers
Auswahl zurücksetzen
Gesamtbehandlungszeit: 12 Tage

Zeitbedarf
der Behandlung*

12 Tage

  • Präparation

    10/2014

    Präparation des Veneers

  • Eingliederung

    11/2014

    Eingliederung des Veneers

  • Routine Kontrolle

    Alle 6 Monate

    Einbindung in das regelmäßige Untersuchungsprogramm mit Guided Biofilm Therapy (GBT), d.h. systematische Entfernung des anhaftenden Biofilms

Mein Fazit

Na ja, sieht ganz toll aus, fühlt sich auch mit der Zunge ganz glatt an. Jedoch ob das hält, ich bin skeptisch. Bisher hat alles gut gehalten. Nur so ein kleines Stückchen und das hält. Ich kann es noch gar nicht glauben

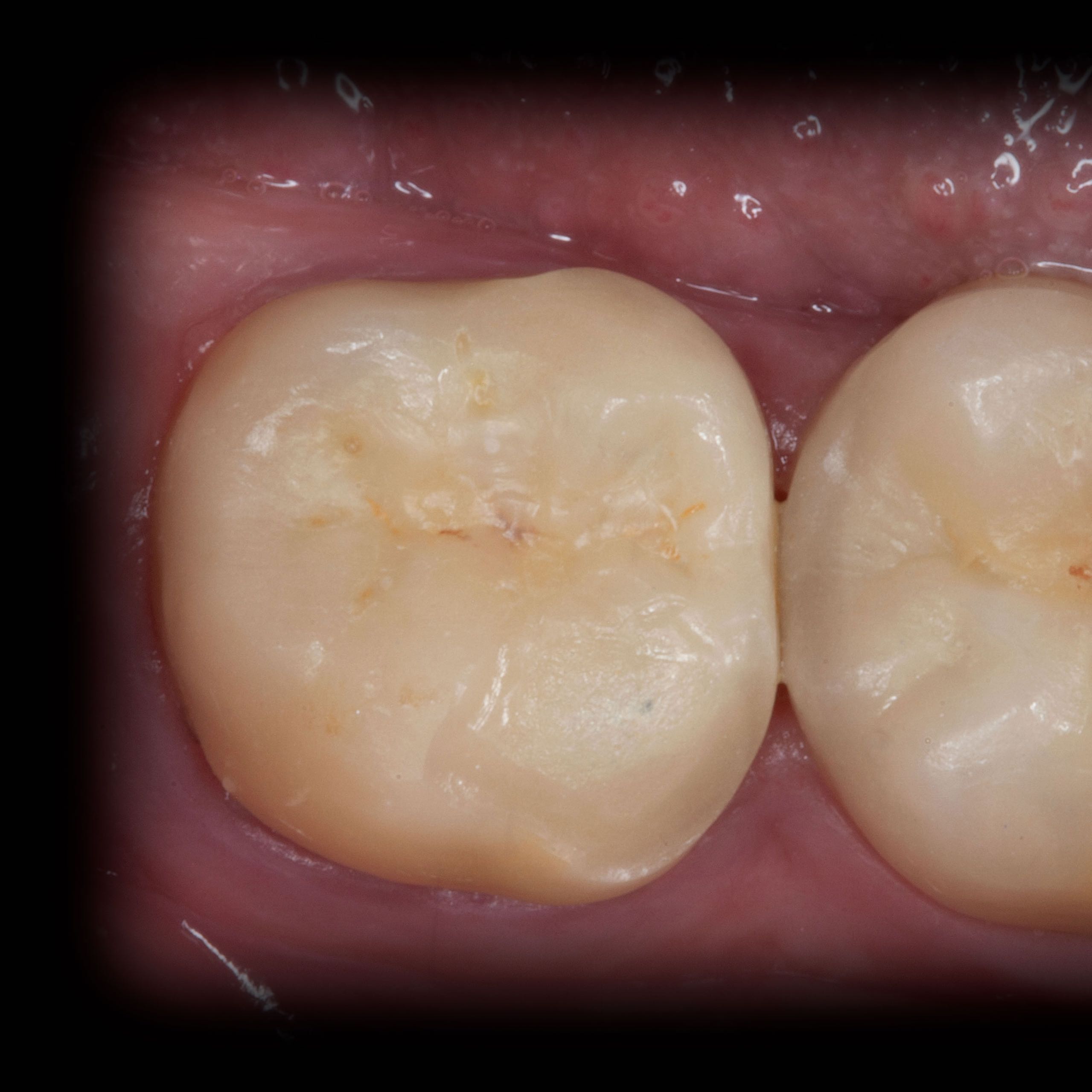
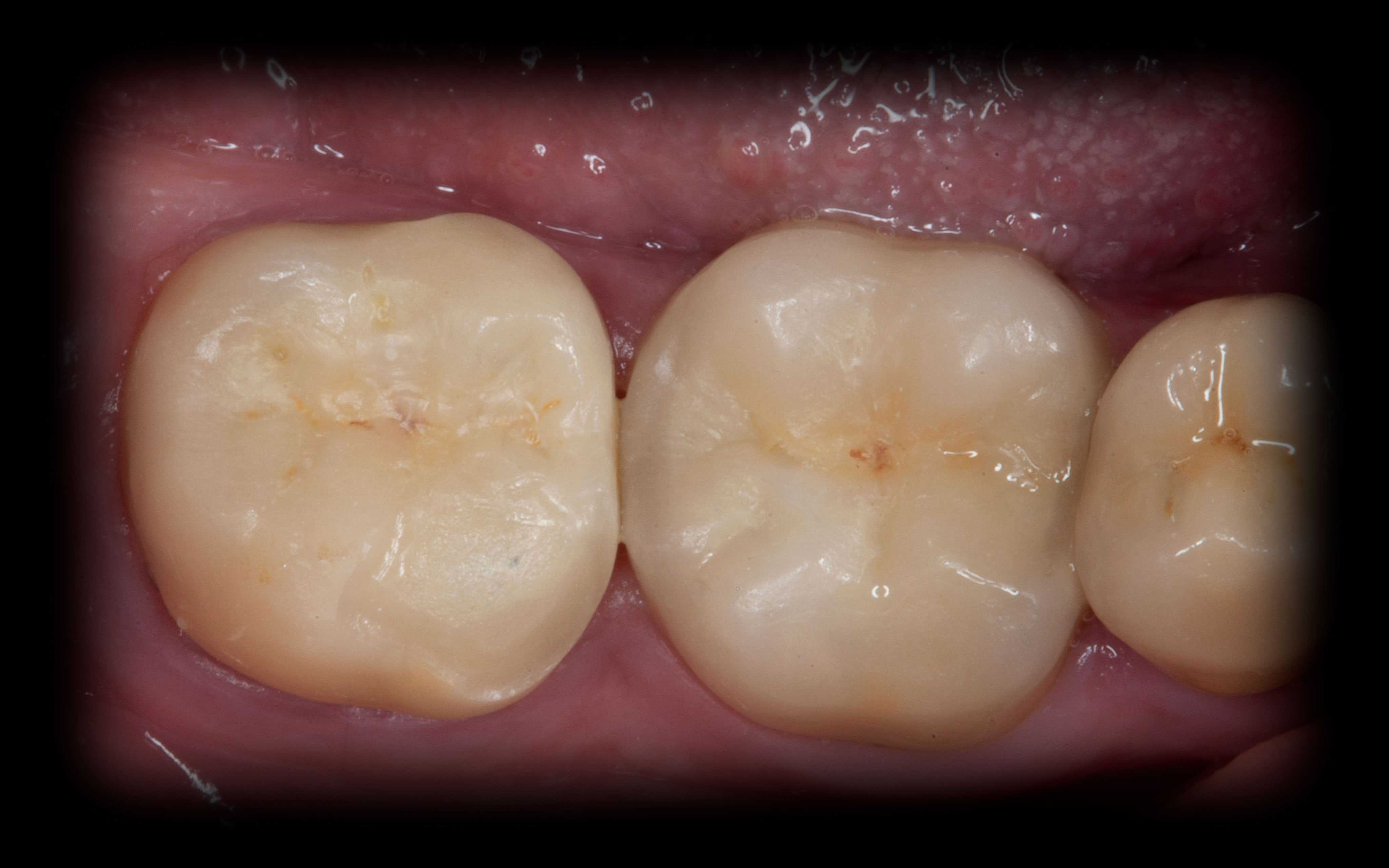
VORHER
NACHHER
Die Arbeit ist seit 12 Jahren beständig

Zuletzt angesehen