Sie haben Fragen zu dieser Behandlung?

Vielen Dank für Ihr Interesse
*Pflichtfelder

Anke

Patientenalter 41 Jahre
Beginn 2016
Behandlungsaufwand Aufwändig
Ausgangssituation

Meine Geschichte

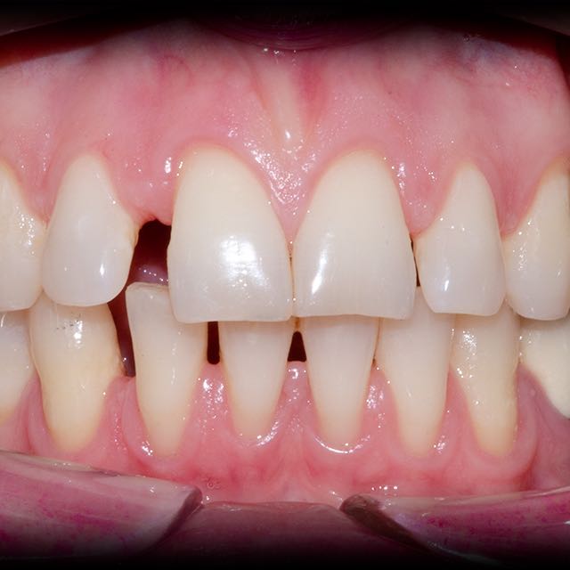
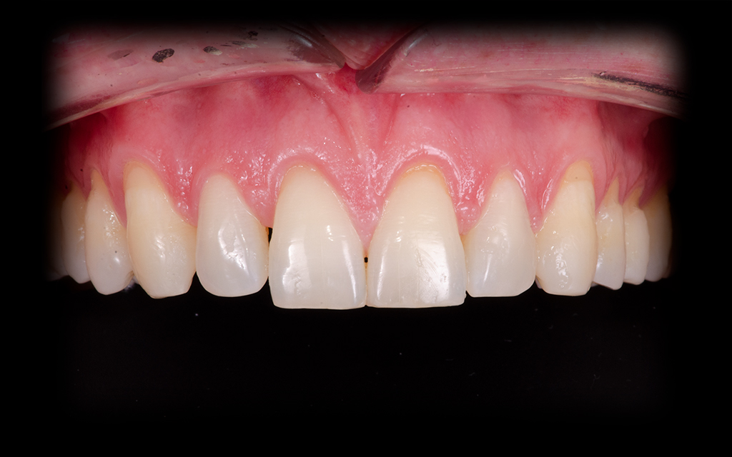
Die Lücke zwischen meinen Frontzähnen…  

mehr lesen

Meine
Erwartungen

Ich wollte die Lücke zwischen meinen Frontzähnen geschlossen haben. Auch im Unterkiefer standen die Zähne auf Lücke. Das musste korrigiert werden

Zahnärztliches Risiko

  • Karies
  • Parodontitis
  • Funktion
  • Iatrogen
  • Patientenrisiko
  • Behandlungsrisiko

Fazit Risikobewertung

Oft denken Patienten „Zahnspangen“ in diesem Fall durchsichtige, sind nur was für Kinder und Jugendliche. Sie finden sich mit der vorhandenen Zahnstellung ab, sind jedoch sehr unzufrieden. Oftmals jeden Morgen beim Blick in den Spiegel kommt der Wunsch nach Veränderung. In diesem Fall musste, um die Verzahnung zu optimieren die Brücke getrennt und später erneuert werden. Eine Korrektur der Zahnstellung ist in jedem Alter möglich. Bei herausnehmbaren Zahnspangen hier „Alignern“ ist Disziplin gefragt. 15-20 Stunden Tragezeit täglich ermöglicht den Erfolg. In diesem Fall wollten die Zähne nicht wie die Schiene es vorgab. Im Seitenzahnbereich musste mit einer festen Apparatur (Brackets) nachgeholfen werden

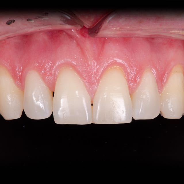
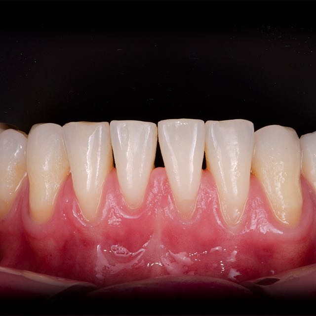
Bei Behandlungsbeginn

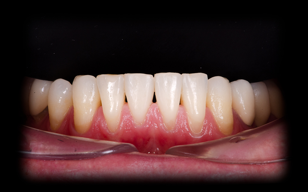
  • Zahnlücken im Ober- und Unterkiefer
  • Dreieckige Zahnform
  • Vorhandene Brücke im Seitenzahnbereich

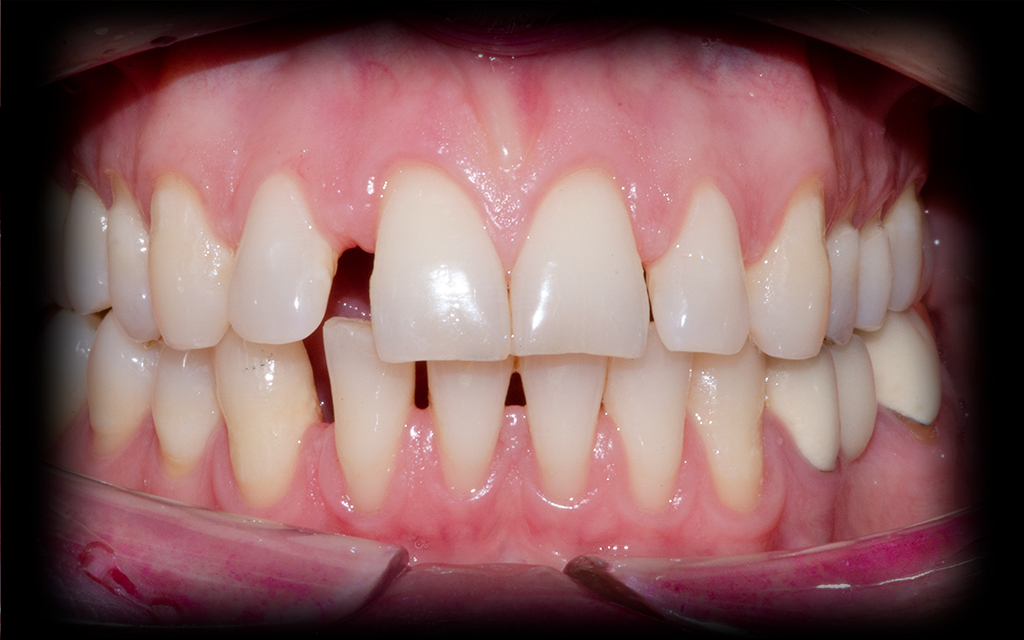
Therapie

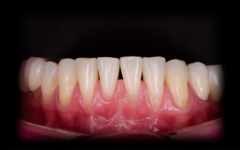
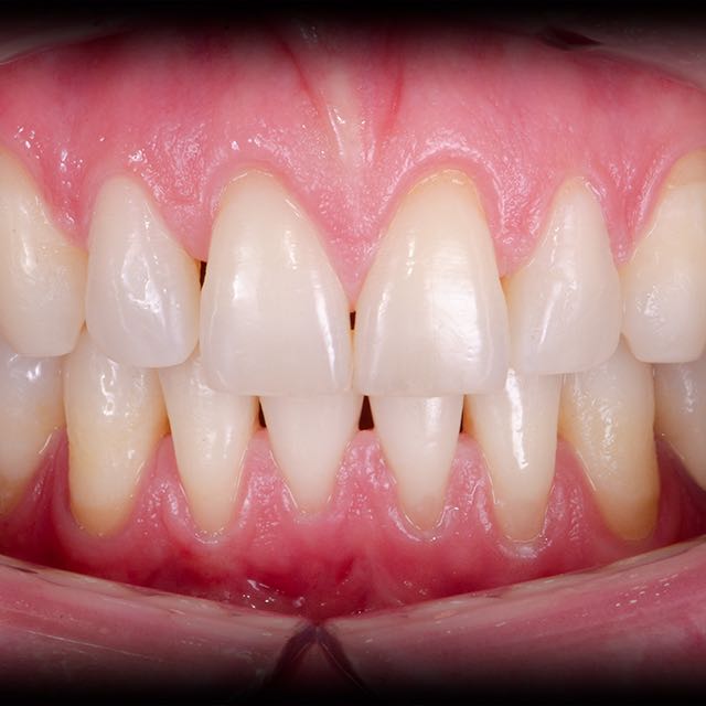
  • Zahnstellungskorrektur mit Alignern
  • Neue Brücke nach kieferorthopädischen Behandlung
  • Anpassung der Zahnform zur Erleichterung der Reinigung, Karies- und Parodontitisvorsorge
Auswahl zurücksetzen
Gesamtbehandlungszeit: 1 Jahr 9 Monate

Zeitbedarf
der Behandlung*

1 Jahr 9 Monate

  • Kieferorthopädische Behandlung
    07/2016

    07/2016

    Zahnstellungskorrektur mit Alignern. In der Endphase mit Brackets. 

  • Neue Brücke
    04/2019

    4/2019

    Die für die kieferorthopädische Behandlung getrennte Brücke wurde erneuert

  • Zahnumformung
    04/2019

    4/2019

    Anpassund der Zahnform zur Erleichterung der Reinigung, Karies- und Parodontitisvorsorge

  • Routine Kontrolle
    Alle 6 Monate

    Alle 4-6 Monate

    Einbindung in das regelmäßige Untersuchungsprogramm mit Guided Biofilm Therapy (GBT), d.h. systematische Entfernung des anhaftenden Biofilms

Mein Fazit

Endlich kann ich ohne wie ein Lama zu spucken lachen und sprechen. Ich bin ganz begeistert. Auch im Unterkiefer sieht das ganz toll aus. Ich bin ganz happy 

VORHER
NACHHER
Die Arbeit ist seit 7 Jahren beständig

Zuletzt angesehen