Meine Geschichte
Plötzlich fehlten meine Zähne ...
Als unser Patient erhalten Sie exklusiv die Mobiltelefonnummer Ihres behandelnden Zahnarztes. Er ist „rund um die Uhr“ für Sie da.
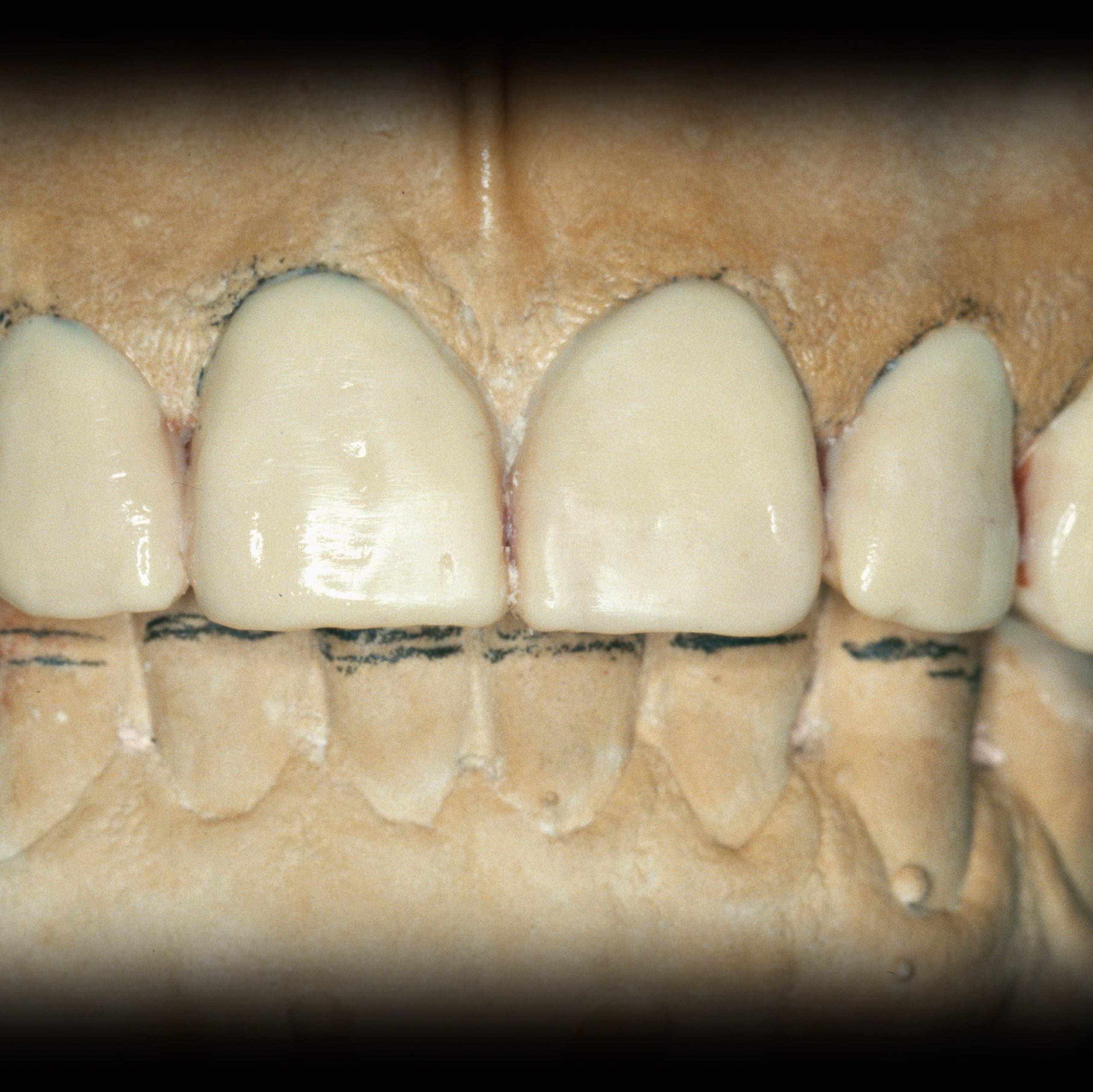
Ausgangssituation
Ich wollte meine Zähne zurück. Die Voraussetzungen dafür mussten erst geschaffen werden. Ich hoffte, dass soviel Substanz gewonnen werden konnte, um Kronen sicher befestigen zu können. Dr. Clotten zeigt mir an meinem Modell mit einer Wachs-Simulation auf was ich mich freuen konnte.
Solche ausgeprägten Zahnsubstanzverluste stellen mitunter eine große Herausforderung dar. In diesem Fall wurde der Patient von seinem Hauszahnarzt überwiesen. Gemeinschaftlich besprachen wir das Vorgehen und das zu erwartende Ergebnis. Die Wurzellänge der Zähne war ausreichend lang und das Lippenbild geeignet für diese Behandlungsart. Es konnte eine zufriedenstellende Zahnlänge für die Versorgung mit Kronen erreicht werden. So war es für den Hauszahnarzt möglich mit klassischen Kronen die Behandlung erfolgreich durchzuführen.
3 Wochen
Erstellung der diagnostischen Unterlagen, medizinische Abklärung
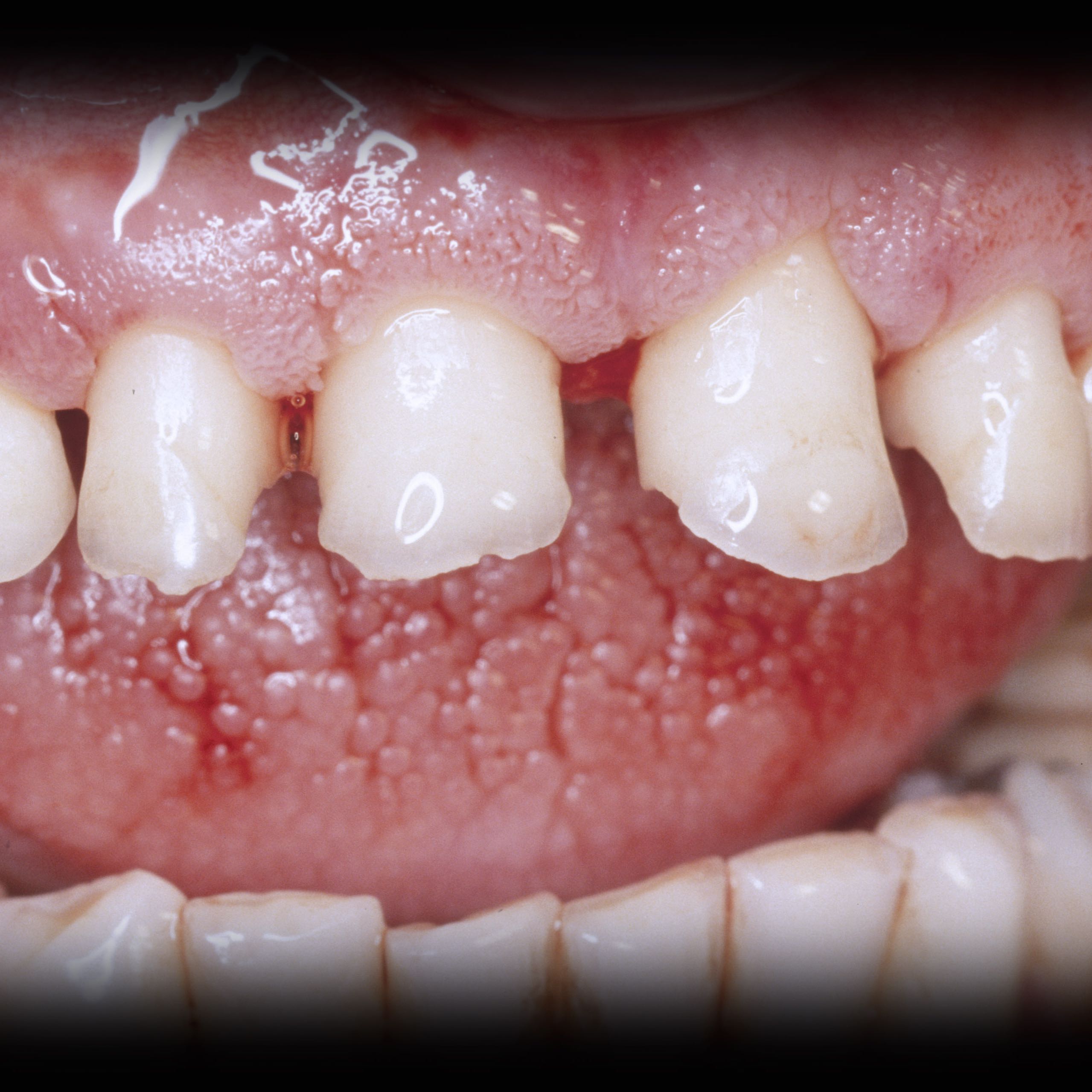
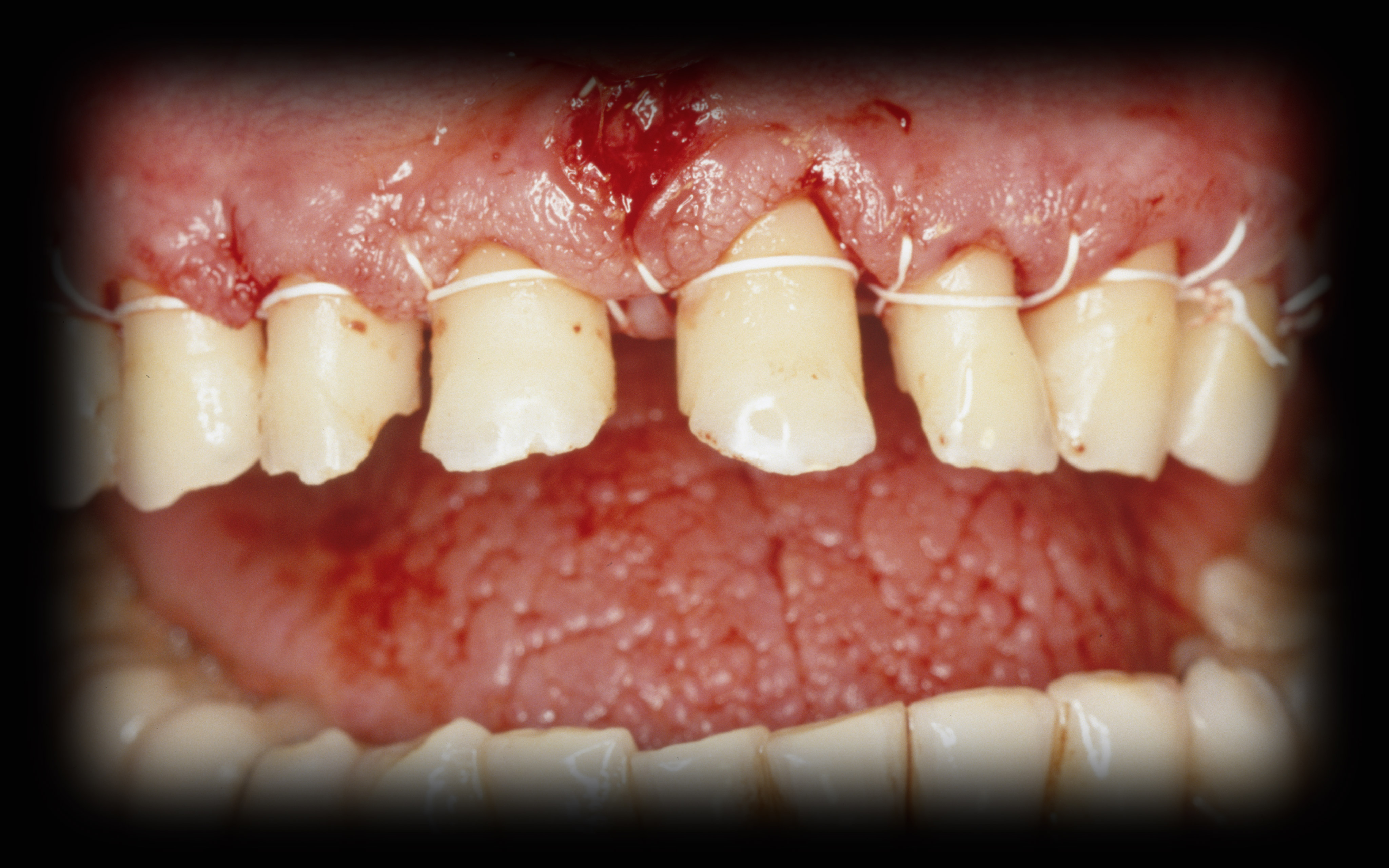
Klinische Kronenverlängerung
Kontrolle der Heilung und Nahtentfernung
Nach Abschluss der Behandlung wurde der Patient zu seinem Hauszahnarzt zurücküberwiesen
Wenn ich vorher und nachher vergleiche, war ich schon jetzt sehr glücklich. Die Kronen hatte ich noch vor mir